![初めてご来院いただく患者さまへ]()
初めてご来院
いただく患者さまへ
船橋森谷歯科クリニックでは正しい診断と治療方針・治療計画を立て、患者さまの“健口“を末永く守っていくために、初回ご来院時は下記の検査を行います。
*定期検診やクリーニング、ホワイトニングをご希望の患者さまも行います。
初回来院時の診療内容
- 口腔内写真撮影
- レントゲン撮影
- 歯周病検査(歯茎の検査)
- 主訴の改善
からだの健康は、 お口の健康から。
船橋森谷歯科クリニックでは正しい診断と治療方針・治療計画を立て、患者さまの“健口“を末永く守っていくために、初回ご来院時は下記の検査を行います。
*定期検診やクリーニング、ホワイトニングをご希望の患者さまも行います。
初回来院時の診療内容

ご来院されましたらまず問診票をご記入いただきます。
問診表は合計2枚ご記入いただきますので、ご予約のお時間より10分程度お早めにご来院ください。

患者さまの問診表をもとに、個室カウンセリングルームにて患者さまの主訴やその他のお悩み、生活習慣や全身疾患の既往、服用薬剤、アレルギーの有無、治療におけるご希望などを細かくお伺いします。
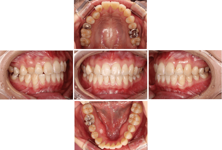
初診時のお口の中の状態を記録するため、5~6枚程度の写真を撮影させていただきます。
歯科医師による口腔内診査を行い、歯や歯茎だけでなく舌や口腔粘膜等の状態を診査します。
肉眼では確認できない歯の根の状態や詰め物の適合状態、顎の骨の状態、顎関節の形態等をレントゲンによる診査、診断を行います。
船橋森谷歯科クリニックのレントゲンはデジタルレントゲンを導入しています。
従来のフィルム現像タイプのレントゲンと比較し、放射線の被ばく線量が1/5程度と非常に少ないため、からだへの負担が大幅に低減されます。
また、すべてのユニットにタッチパネル式のモニターを完備しており、直接モニターに線や文字を書きながらわかりやすく説明いたします。
歯周ポケットの深さ、歯茎からの出血などを確認し、歯周病の有無や進行の程度を診査します。
患者さまが当院にご来院された最も大きな悩みをできる限り解消するための処置を行います。























